Antibody therapeutics have revolutionized treatment for many diseases, from cancer to autoimmune disorders. Read on to learn how they work.
SCIENCE MADE SIMPLE
Stay Updated! Subscribe to The Primer
Share
Antibody therapeutics have revolutionized treatment for many diseases, from cancer to autoimmune disorders. Read on to learn how they work.
Vaccines are the ultimate cheat code for your immune system—arming it to fight deadly germs before you’re ever in danger.
December 1 will mark World AIDS Day, a time to spotlight the ongoing fight against HIV/AIDS. HIV doesn’t directly kill people—it’s the opportunistic infections that come with a weakened immune system that are deadly.
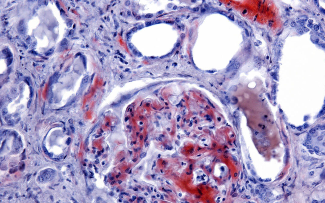
Amyloid is a protein that builds up in the liver, spleen, and other tissues. When amyloid folds incorrectly, the protein sticks together and forms fibrous deposits in and around cells, causing amyloidosis. Fortunately, affected patients are benefitting from new, cutting-edge treatment options.
There are two broad approaches to gene therapy treatment, in vivo and ex vivo, and each relies on a different gene vector to get the job done. Let’s take a closer look.
Biotechnology uses living organisms or their components to address many of our largest global challenges in healthcare, agriculture, the environment, and industry.
Biotechnology, pharmaceuticals, and biopharmaceuticals: these terms and abbreviations (biotech, pharma, and biopharma, respectively) are everywhere in today’s lexicon. However, which aspect of research does each term refer to, and more importantly, how are they different?
The biopharmaceutical landscape is rapidly expanding at a CAGR of 12.5%, with its market value set to rise from USD 333.09 billion in 2022 to USD 856.1 billion by 2030.
Despite the limited treatment options available, recent biological and technological advancements have sparked new hope, opening up novel opportunities for treatment and care.
Unlock the potential of antisense technology. Discover how RNA therapeutics can target previously ‘undruggable’ molecules for effective manipulation.
Biotech Primer is your go-to source for interactive training across the biotechnology, pharmaceutical, molecular diagnostics, and medical device sectors. Explore a range of in-depth biotech courses designed to deepen your understanding of key principles and applications in the field.